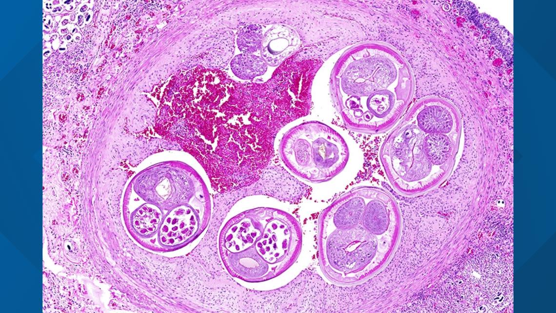
Brain-infecting worms, known as 'rat lungworm,' detected in San Diego County

Brain-infecting worms, known as 'rat lungworm,' detected in San Diego County

cbs8.com health

Key Points:

  • SAN DIEGO COUNTY, Calif. — Editor's note: A previous version of this article credited the research to the CDC. The study appeared in a CDC journal, but the research was conducted by the San Diego Zoo

Trending Business

Trending Technology

Trending Health